
El pene de un hombre se rompió de manera vertical durante el sexo, un primer caso para la medicina

REINO UNIDO.- Un hombre en el Reino Unido parece ser un primer caso para la medicina moderna, aunque probablemente no de la manera que hubiera querido. Sus médicos dicen que es la primera persona conocida a la que se le ha roto el pene verticalmente durante el sexo. Afortunadamente, a pesar de la extraña lesión, el hombre se ha recuperado por completo.
Un pene roto, o fractura de pene, se describe con mayor precisión como un desgarro que comienza en la túnica albugínea, la capa protectora que rodea el tejido eréctil que bombea sangre al pene. La razón por la que se siente como un hueso roto es que la mayoría de las lesiones ocurren durante las relaciones sexuales, cuando un pene completamente erecto se dobla demasiado y/o con demasiada fuerza, y se tuerce bajo la presión, lo que hace que la sangre del pene se filtre. Cuando eso sucede, casi siempre se acompaña de un fuerte sonido de estallido junto con hematomas e hinchazón que se forman rápidamente, algo que, de nuevo, es muy parecido a un hueso roto. La lesión también provoca una detumescencia inmediata o la pérdida de la erección. Se cree que es poco común, aunque probablemente no se informa en muchas ocasiones debido a la vergüenza.
Los urólogos detrás de este estudio de caso, publicado en BMJ Case Reports, dicen que la lesión de su paciente fue aún más rara que la variedad típica. Como la mayoría de los casos, el hombre de 40 años se había lastimado durante las relaciones sexuales, específicamente cuando su pene “se dobló al presionarlo contra el perineo de su pareja”. Pero no mostró muchos de los síntomas de una fractura de pene clásica. No escuchó un estallido fuerte cuando sucedió, por ejemplo, ni desarrolló señales de “rodar”, que es cuando la piel del pene se puede enrollar sobre un gran hematoma que se forma en él. Su pene también estaba moderadamente hinchado y no perdió inmediatamente la erección; en cambio, se desvaneció de forma gradual.
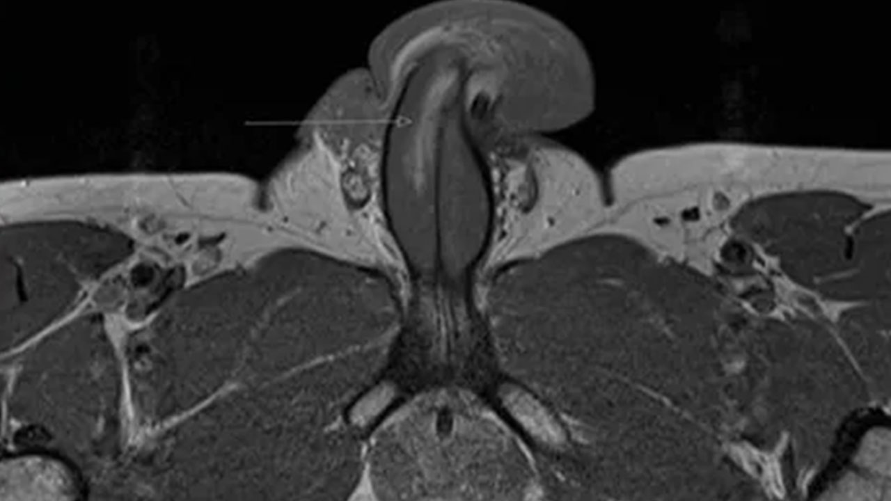
El caso fue extraño como para convencer a los médicos de que ordenaran una resonancia magnética, que generalmente no es necesaria en estos casos. Y cuando llegaron los resultados de la prueba, confirmaron que el pene del hombre tenía un desgarro vertical de tres centímetros de largo a lo largo del lado derecho, alrededor de la mitad del eje, en lugar de un desgarro transversal u horizontal. Por lo que saben, es la primera lesión de este tipo que se ha reportado. Desafortunadamente (o tal vez afortunadamente para los lectores), los médicos no tomaron ninguna foto de la lesión, debido a las restricciones relacionadas con la pandemia en la actualidad.
“En julio de 2020, una revisión de de PubMed confirmó que todos los casos documentados en el idioma inglés informan una fractura ‘transversal’ de la túnica albuginea”, escribieron los autores. “A su vez, presentamos el primer caso documentado de una fractura de pene vertical, confirmada en resonancia magnética, sostenida por un hombre de 40 años durante una relación sexual”.
Dados los síntomas más leves del hombre, los médicos especulan que un pene roto verticalmente podría ser notablemente diferente en presentación y resultados a largo plazo en comparación con la lesión más típica. Una fractura de pene es una emergencia médica grave que puede provocar una discapacidad, por lo que se recomienda que los médicos la traten dentro de las 24 horas. Incluso con tratamiento, generalmente cirugía para reparar el desgarro y detener el sangrado, las complicaciones duraderas pueden incluir disfunción eréctil permanente, uretra con cicatrices y estrechamiento, o un pene mucho más curvo que antes.
Afortunadamente, en este caso, la cirugía pareció ser un éxito total. Y el hombre no tardó mucho en recuperarse sin problemas persistentes. Según el informe, los médicos planean vigilar al paciente durante un tiempo.
“En términos de resultados a largo plazo, compararemos la recuperación de este paciente con la de la literatura”, escribieron. “Sin embargo, de manera tranquilizadora, esta paciente pudo reanudar la actividad sexual dentro de los 6 meses posteriores a la lesión, logrando erecciones de la misma calidad que las anteriores a la lesión, negando cualquier curvatura del pene o cicatrices palpables significativas”.
Por cierto, en caso de que se lo esté preguntando, los factores de riesgo para el pene roto clásico incluyen tener más de 40 años y tener relaciones sexuales “estilo perrito” o con una mujer encima.





